• Mon - Sun : 24 Hours Open

Welcome to Galaxy Imaging

Clear Imaging Accurate Reports

Fast, Reliable CT Imaging for Better Health

About Us

Welcome To Galaxy Imaging

At Galaxy Imaging, we are committed to providing state-of-the-art imaging services to enhance healthcare outcomes. Our team of skilled radiologists and technicians utilizes advanced technology to deliver accurate and reliable diagnostic information

Our Mission

To provide exceptional imaging services that empower healthcare professionals in making accurate and timely diagnoses, leading to improved patient outcomes. We are dedicated to utilizing advanced technology and a compassionate approach to deliver personalized care that exceeds expectations.

Our Services

CT Scan

Our state-of-the-art CT scan service provides detailed, high-resolution imaging for accurate diagnosis, treatment planning. With expert technicians, we ensure fast, reliable, and comfortable scanning experiences.

Learn More

CBCT Scan

Our CBCT scan service offers precise 3D imaging, ideal for dental and maxillofacial diagnostics. Experience quick, accurate scans with minimal radiation exposure for better treatment outcomes.

Learn More

OPG

Our OPG service delivers panoramic dental X-rays, providing a comprehensive view of your entire mouth in a single, quick scan. Ideal for assessing teeth, jawbone, and surrounding structures with minimal radiation exposure.

Learn More

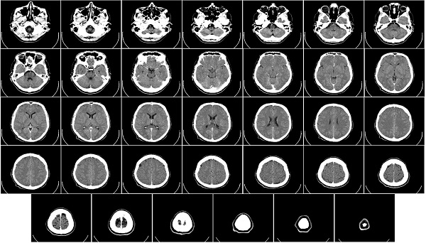
CT Brain

Our CT brain service offers high-resolution imaging to accurately diagnose neurological conditions. With fast and precise scans, we provide essential insights for effective brain health management.

Learn More

CT Chest

Our CT chest service provides detailed imaging of the lungs and chest cavity, aiding in the diagnosis of various conditions. Expect rapid, high-quality scans for accurate and timely clinical decisions.

Learn More

CT Kub

Our CT KUB service delivers precise imaging of the kidneys, ureters, and bladder, crucial for diagnosing urinary tract conditions. Enjoy fast and accurate scans to support effective treatment planning.

Learn More

CT 3D Pelvis

Our CT 3D pelvis service offers advanced, high-resolution imaging for detailed visualization of pelvic structures. This service provides critical insights for complex diagnoses and tailored treatment strategies.

Learn More

CT Temporal Bone

Our CT temporal bone service provides detailed imaging of the ear and surrounding structures, essential for diagnosing auditory and balance disorders. Expect precise scans to support accurate treatment planning.

Learn More

CT Spine

Our CT spine service offers detailed imaging of the spinal column, crucial for diagnosing injuries, degenerative conditions, and other spinal issues. Experience quick and accurate scans to guide effective treatment plans.

Learn More
image

Our Clients Review

“Great service, Very helpful staff. Thank you for quick reports”

Reji Sashi

“Staff was very polite & helpful. I got my reports on time”

Mohammed Qazi

“Good services in fast manner. All the best”

hemlata Mhatre

“ Very Co-operative staff. I was anxious for my CT scan but the staff patiently answered all my doubts”

Pradeep Basu

4.98 Ratings
  • Rated 4.9 stars based on 170+ reviews
Post A Review
Call WhatsApp